Kraeft I Ojet Symptomer
Symptomer Pa Kraeft I Ojnene Det Skal Du Holde Oje Med
Kraeft I Ojet Laes Alt Det Nyeste Om Kraeft I Ojet On Newsner
Ojenbetaendelse Arsager Symptomer Og Behandling
Retinoblastom Patienthandbogen Pa Sundhed Dk
Tegn Pa Ojet Kraeft Mosolyorszag Com
8 Tegn Pa Sygdom Der Kan Ses I Dit Ansigt
Knuder I Ojenlagene Inkl Haglkorn Papillomer Og Xantelasmata
Bygkorn Og Haglkorn I Ojet Fa Hjaelp Og Behandling Af Ojenlaege
Flere Far Kraeft I Munden Her Er De 9 Skjulte Tegn Du Skal Holde
8 Tegn Pa Sygdom Der Kan Ses I Dit Ansigt
Naesten Alle Gor Det Tusindvis Af Mennesker Odelaegger Ubevidst
Ojenbetaendelse Arsager Symptomer Og Behandling
Https Www Cancer Dk Dyn Resources File File 0 560 1385261315 Cancer Oejenregionen2001 Pdf
Michael Fra Mine Sidste 100 Dage Man Kunne Godt Fole Sig Ensom
Ojenbetaendelse Nar Ojet Klistrer Magasinet Helse
Hornhindens Sygdomme Ojenforeningen
Operation For Modermaerkekraeft I Ojet
Allergisk Konjunktivitis Symptomer Arsager Og Behandlinger
Syv Symptomer Pa Kraeft Du Skal Holde Skarpt Oje Med
Betaendelse I Ojenlagsranden Blefaritis Ojenforeningen
Regnbuehindebetaendelse Iridocyklitis Patienthandbogen Pa
Symptomer Pa Modermaerkekraeft Kraeftens Bekaempelse
Modermaerkekraeft Hvad Er Symptomerne Iform Dk
Kraeft I Ojnene Nogle Symptomer Bor Ikke Overses Medicin
Dacryocystitis Arsager Symptomer Og Behandling Medical Diag Com
Fang Kraeften Tidligt 7 Tegn Du Skal Holde Oje Med Sondagsavisen Dk
Hudkraeft Disse Symptomer Skal Du Holde Oje Med
Hornhindekirurgi Gennem 5 Ar Ojenforeningen
At Se Doden I Ojnene Og Komme Tilbage Til Livet Igen Kristeligt
Opdager Ikke Kraeft I Tide Syv Symptomer Maend Ikke Ma Ignorere
Symptomer Pa Modermaerkekraeft Kraeftens Bekaempelse
De Ligner Hinanden Har Samme Navn Og Samme Sygdom Her Er
Ojenbetaendelse Hos Hund Symptomer Arsager Og Behandling Evidensia
Forskere Vi Finder Aldrig En Kur Mod Kraeft
Sadan Opdager Du Tarmkraeft Alt Dk
Tjek Din Hund Eller Kat For Kraeft Samvirke
Spiserorskraeft Her Er Symptomerne Du Skal Vaere Opmaerksom Pa
Lorna Gik I Flere Maneder Uden At Vide Hun Havde Kraeft Nu
Spiserorskraeft Patienthandbogen Pa Sundhed Dk
7 Symptomer Pa Kraeft Det Skal Du Holde Oje Med
Bygkorn Og Haglkorn I Ojet Fa Hjaelp Og Behandling Af Ojenlaege
Kraeft I Munden Her Er De Skjulte Tegn Sol Dk
Modermaerkekraeft Symptomer Og Behandling Sadan Tjekker Du Dine
Ny Kraeftkampagne Er Rettet Mod Maend Politik Dr
Forfatter Julie Hastrup Fik Modermaerkekraeft Jeg Folte Min Krop
Https Www Cancer Dk Dyn Resources File File 0 560 1385261315 Cancer Oejenregionen2001 Pdf
Mulige Symptomer Pa Kraeft I Skjoldbruskkirtlen Hos Kvinder Bedre
Opdager Ikke Kraeft I Tide Syv Symptomer Maend Ikke Ma Ignorere
Aeldre 3f Maend Ved For Lidt Om Kraeft Fagbladet 3f
Stress Symptomer 30 Signaler Du Skal Holde Oje Med Iform Dk
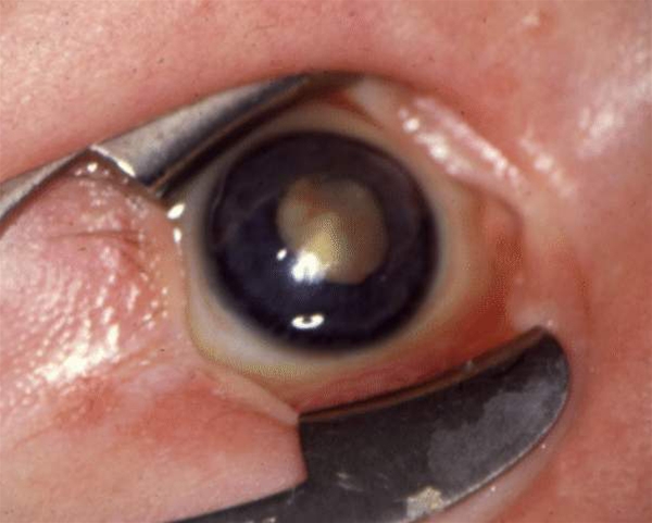
Kraeft I Ojet Choroidalt Melanom Ojenleksikon
Hudkraeft Disse Symptomer Skal Du Holde Oje Med
Hofeber Kan Behandles Med Medicin Eller Vaccination
Symptomer Pa Lungekraeft Mange Rammes Tag Disse Tegn Alvorligt
Den Unge Mands Guide Til At Tjekke Sine Testikler For Kraeft Vice
Infiltrativ Gastrisk Cancer Arsager Symptomer Diagnose
Maling Af Pupiller Er En Effektiv Made At Male Sclerose Symptomer
Sadan Tjekker Du Dine Egne Modermaerker Tv 2 Lorry
Gron Staer Tagesyn Sortnen For Ojet Sog Straks Laege
Patientforsinkelser Ved Kraeftsygdomme Hvorfor Forsinkes
Kraeft Brain Tumors Cancer Tegn Symptomer Typer Og
Det Dode Lars Larsen Af Tjek Disse Symptomer Kendte Dk
Her Er De Storste Kraeft Draebere Sundhed Familie Sundhed
Modermaerkekraeft Hvad Er Symptomerne Iform Dk
Modermaerkekraeft Malignt Melanom Patienthandbogen Pa Sundhed Dk
Unge Med Kraeft Sarah Fik Fjernet Tumor Pa 22 Centimeter Bt
Lungehindekraeft Er Sjaelden Men Dodelig Hold Oje Med Din Hoste
Far Tog Sodt Foto Af Sonnen Og Reddede Dermed Hans Liv
Derfor Sover Du Med Abne Ojne Illvid Dk
Jeg Bilder Mig Ikke Ind At Jeg Nogensinde Bliver Kraeftfri
9 Symptomer Pa Prostatakraeft Du Bor Holde Oje Med Samvirke
Voksne Born Skal Fa Faedre Til At Opdage Tegn Pa Kraeft Sundhed
Et Skridt Foran Kraeft Kraeftens Bekaempelse
Ojenbetaendelse Rodt Oje Allergi Eller Betaendelse
Nye Metoder I Kampen Mod Kraeft I Ojet Ojenforeningen
Advarsel Pas Pa Disse Symptomer Pa Kraeft Sol Dk
10 Symptomer Der Fortaeller Dig At Noget Er Galt Med Din
Betaendelse I Regnbuehinden Uveitis Anterior
Neuroendokrine Tumorer Net I Tyndtarmen Kraeftens Bekaempelse
Laendesmerter Gode Rad Ovelser Ekspert Behandling Aarhus
6 Symptomer Pa Livmoderhalskraeft Som Man Bor Kende Bedre Livsstil
20 Bornesygdomme Og Symptomer Foraeldre Skal Holde Oje Med

0 Comments
Posting Komentar